
「局所麻酔をすれば痛くないのは解っているのだけれど、歯を削る音や振動、薬品の臭いなどが苦手」という患者様などには、笑気ガスを用いる吸入鎮静法と、血管に鎮静薬を注入する静脈内鎮静法の2種類の麻酔法を使用して、安全に治療を提供しています。
◆ 笑気吸入鎮静法
鼻に専用のマスクを被せて、酸素に甘い香りがする笑気ガスを混ぜて、吸入して麻酔を効かせる方法です。
吸入中は、歯を削るなどの不快な振動や注射の痛みも気にならなくなり、リラックスした状態で治療を受けていただくことができます。
静脈内鎮静法は、薬剤を点滴して半分眠った状態にする方法です。
意識がぼんやりした中で治療をしますので、音や振動を感じにくく、恐怖心や不安なく治療を受けられます。
口腔外科医としての経験を活かし、お口の中のあらゆる病気の相談と治療をいたします
歯科口腔外科は、一般的によく知られる「虫歯」「歯周病」「歯並び矯正」などの治療に属さない、口の中に発生する様々な疾患だけでなく、隣接する組織に起こる疾患などの治療も行っております。
主な疾患としては、「親知らずなどの難抜歯」「顎関節症の治療」「歯ぎしり/いびきなどの治療」などですが、当院では院長自身が大学病院等の歯科口腔外科に長年にわたり勤務し、多くの症例や実績を積んできた経験を基に、的確な診査・診断~治療までを提供できる体制を整えております。
また、口腔外科分野についてのご相談も随時受け付けておりますので、気軽にお問い合わせください。
「親知らず」を抜こうと歯医者さんに行っても「口腔外科で抜いてください」と言われる場合があります。
また、親知らずの生え方によっては、困難な手術になってしまう場合があり、口腔外科を勧められることがあります。
ご安心ください。そうぜん歯科クリニックでは、一般的に病院の口腔外科で処置するような「親知らず」でも、歯科大学の口腔外科にで経験を積んだ院長が的確に対応します。
簡易的なCTスキャンではなく、病院歯科にあるような本格的なCTスキャンを使った立体的な画像を基にした「診査・診断」と、高い口腔外科技術により、安心して「親知らず」の抜歯に対処しています。
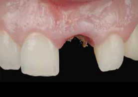
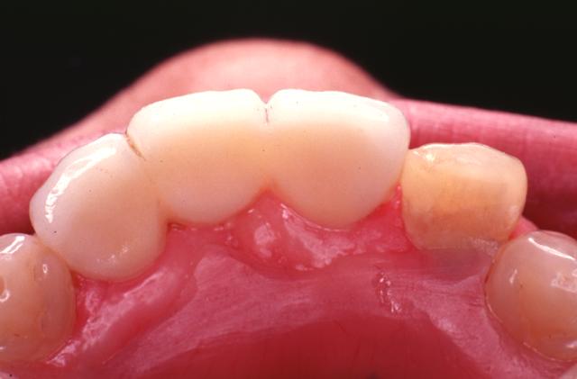
インプラント治療は、歯が抜けてしまった部分に人工歯根を埋入し人工歯をかぶせる治療法です。
インプラント本体は手術によって顎骨に埋め込みますが、顎の骨としっかりと結合・固定されるため、健康な自分の歯のようにしっかりと噛むことができるように機能性が回復します。
インプラント治療は、失った歯が1本から数本のケース、全歯が無く総入れ歯が合わないようなケースなどに対応しております。
また、4~6本のインプラント本体を埋め込み、インプラント専用の義歯を固定する治療も可能です。

◆ 診査・から手術まで、安全に進めて行きます
当院ではCTを院内に設置しておりますので、大学病院などに撮影に行くことはありません。
CTは、レントゲンではわからない骨や神経の位置や状態を把握することが可能で、安全なインプラント手術を行うことが可能です。
◆ インプラントにより、しっかりと噛めて食事を楽しめます!
また、インプラント治療は1本から少数の場合は時間もそんなにかかりません。
インプラントに不安をお持ちの方も多いと思いますが、当院では口腔外科の経験を活かした安全性の高いインプラント治療を提供します。
インプラント治療について関心がある方は、丁寧に解り易く説明していきますので、お気軽にご相談ください。
なお、※インプラント治療は保険外診療となります。
歯並びは正常な位置に生え揃うことが理想的ですが、さまざまな原因で下のように歯並びが乱れてしまう場合もあります。
矯正歯科の目的は、歯並びをゆっくりと美しく治し、心身が健康になることです。
矯正治療は長期にわたるために、治療に関するどんなことでも気軽に話し合いながら、丁寧にコミュニケーションをとりながら、正しい歯並びへと治療を進めてまいります。
矯正装置は種類も数多くありますが、当院では患者様の現在の状態やコスト面などにも考慮して、最適な治療計画を提示しながら治療を提供しています。
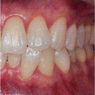
審美的治療は、虫歯や歯周病など機能的に治療することに比べて、機能性に加え見た目の美しさも重視した治療方法です。
欠けてしまった歯並びや歯の色などを修復する際に、回りの歯の色と合わせて審美性(見た目)を回復させたり、黄ばんでしまった歯や歯ぐきを従来のような健康的な色に回復させるなどの治療を行うことで、自然に近い美しい口元にすることが可能です。
「歯を白くキレイにしたい」 「歯並びを整えたい」とお考えの方に、ご要望をお聞きしながら治療計画を作成し、顔立ち・骨格などを詳細に検査したうえで、口元に調和した1クラス上の治療を提供します。
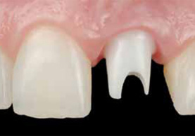
当院では、白く透明感があり、天然歯のようで目立たないながら、金属やセラミック以上の強度のある「ジルコニア」や、比較的低コストながら、長く使えるセラミックと歯科用プラスチックを合わせた「ハイブリッド」なども提供しております。
「白い歯」は清潔で明るく見た目が美しいだけではなく、歯を見せて笑うことで精神面までも明るくなります。
「歯を白くキレイに」といったご要望にお応えするために、歯のホワイトニングをお勧めしております。
当院では、院内で行う「オフィスホワイトニング」を取り扱っています。
歯科医院内で、専用のホワイトニング機器を使用して1回で結果を出すことが出来るやり方です。
知覚過敏が、ホームより出やすいと言われていますが、最近は薬剤が良くなってきているので、そこまで心配することはないと思われます。
当院では、有名メーカーの「ティオン」のシステムを使用し、1回のホワイトニング・ケアを低コストで提供しています。
また、初期の虫歯を除菌する薬剤を使った「ミネラル・ホワイトニング」も低コストで提供しています。